德伦口腔:让全民拥有一口健康好牙

020-83782905关注我们:

  • 首 页
  • 关于德伦
    德伦品牌
    学术科研
    公益事业
    环境设备
  • 专家团队
  • 在线挂号
  • 加入我们
  • English

您的位置: > 牙齿美容修复中心 > 牙缺损 >

牙齿修复的方法有哪些?价格是多少呢?

发表于:2024-10-04 来源:德伦口腔 编辑:徐编 点击:次

牙齿缺损不仅是影响形象美观、饮食等问题,对整个人的身体健康也有很大的影响。尤其是牙齿缺失,如果置之不理,还会影响整副牙齿。
 
 
牙齿缺损和牙齿缺失的区别
 
牙齿缺损和牙齿缺失是不同类型的牙齿问题。
 
牙齿缺损是指牙齿表面的损伤、裂缝或磨耗,它可能是由于牙齿磨损、牙齿龋齿、外力撞击等原因导致。
 
 
牙齿缺损可能仅会导致牙齿变丑、感觉敏感等一些轻微的问题,通常可以通过补牙、烤瓷牙等治疗方法来修复。
 
而牙齿缺失是指牙齿从牙槽骨内完全脱落或其他原因导致牙齿整体缺失,它可能是由于脱落、受伤、疾病、佩戴义齿等多种原因导致。
 

 
牙齿缺失无法通过简单的修复来解决,需要进行更为复杂的牙齿植入手术或者其他义齿修复治疗方式来解决。
 
01、牙齿缺损修复治疗方式
 
牙齿缺损的修复方式取决于牙齿缺损的程度。
 
缺损只到牙釉质和牙本质浅层
 
当牙齿缺损只到牙釉质和牙本质浅层,此时牙齿可能没有很大的感觉,且缺损不是很明显,有部分人可能会出现牙齿敏感、遇冷热会疼痛。
 
此时,牙齿缺损的修复方式可以选择进行树脂补牙或者嵌体修复。
 

价格:点击咨询价格/医生在线>>>
 
缺损只到牙本质中深层,没到牙髓腔
 
此时牙齿会有自发性的疼痛且有肉眼可见的缺损。这种缺损需尽快修复治疗,一般可以选择进行垫底治疗后进行树脂补牙或嵌体修复。
 
缺损到了牙髓(髓腔)
 
此时的牙齿缺损比较大且疼痛明显,尤其是夜晚疼痛难忍,吃止痛药也效果不明显。
 
一般这种情况需进行根管治疗,将感染的牙髓清理干净后再进行填充后修补。通常修补后会建议加多一个牙冠保护牙齿。
 

价格:点击咨询价格/医生在线>>>
 
因为牙齿没有了神经保护,得不到营养的支持,很容易失水变脆,如果没有牙冠保护,牙齿咬到硬物时就会很容易导致牙齿发生劈裂,因此根管后牙冠保护很有必要。
 
牙冠缺损严重,牙根受到影响
 
如果缺损后的牙根有足够的长度,此时根据牙齿松动的情况以及感染的情况可以进行打桩治疗。
 
如果牙根已经损伤比较深,那么就需要进行牙齿拔除后再进行缺牙修复治疗。
 
价格:点击咨询价格/医生在线>>>
 
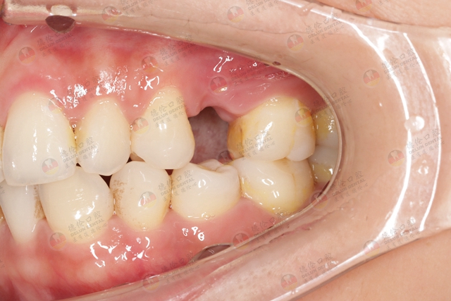
牙齿缺失不仅影响口腔咀嚼功能,还会影响食物的吸收和消化,长期牙齿缺失还会发生缺牙区的邻牙倾斜,导致咬合关系的紊乱。牙齿缺失及时修复很重要!
 
02、牙齿缺失修复治疗方式
 
牙齿缺失的修复方式目前主要有3种:活动义齿修复、固定桥修复、种植义齿修复。
 
活动义齿修复
 
活动义齿,也叫活动假牙,是一种相对简单的缺牙修复方式,具有价格便宜,磨除健康牙体组织少的优点。
 
但它体积较大,有大面积的基托,戴入口腔中的异物感很强,同时活动义齿人工牙一般为塑料牙,咀嚼效率较低。
 

 
除此之外,活动义齿每次饭后、睡前都需要摘下来清洗,比较麻烦。同时会有金属环或者基托的暴露,因此美观性较差。使用寿命较短,一般为3-5年,需要定期更换。
 
固定桥修复 
 
固定桥修复,也叫连桥冠修复,是一种比较常见的牙齿缺失修复方式,与活动义齿相比,其异物感小,不需要摘戴,美观性能好,咀嚼效率高。
 
缺点是会损伤两侧的健康牙齿,要将缺牙处两侧的邻牙磨小后作为桥体后戴牙冠(这个是不可逆的伤害)。
 

价格:点击咨询价格/医生在线>>>
 
固定桥修复的使用寿命一般为15年左右,若其中一颗牙出现问题,通常需要将整个固定桥都拆除重做。而当缺牙过多时,往往不能采用这种修复方式。
 
种植义齿修复
 
种植义齿修复也叫种植牙修复,是目前牙齿缺失首选的修复方式。牙齿缺失只要在口腔环境和身体健康各方面条件允许的情况下,一般都会建议进行种植牙修复。
 
因为这种修复方式既不伤害邻牙健康,还能媲美真牙恢复美观和咀嚼功能,同时更有利于维护口腔健康。
 

价格:点击咨询价格/医生在线>>>
 
种植牙的使用寿命一般都比较长,只要维护保养得当可以用一辈子。但种植牙的费用较高,修复周期也相对较长,同时对缺牙周围骨组织有一定的要求。
 
当缺牙个数较多,或是跨度较大时,甚至全口无牙时,就只能选择活动修复或者种植修复了。
 
缺牙如何选择适合自己的修复方式?
 
主要考虑以下因素:
 
1、缺失牙的位置和数目;
 
2、缺失牙周围牙齿及骨质的情况;
 
3、在同等条件下修复的效果:种植牙 > 固定桥 > 活动牙。
 
以上就是牙齿缺损和牙齿缺失的修复方式,尽管牙齿缺损和牙齿缺失的影响后果并不相同,但不管是哪种牙齿问题,都需及早采取有效的治疗方法,才能够更好地保护口腔健康。

如果您还有其它问题,可以在线咨询德伦口腔专家为您解答相关口腔问题,您也可以拨打全国热线电话 020-83782905 咨询,德伦口腔专家会竭尽所能的帮助您。在线咨询德伦专家>>>

热点推荐

Recommended

• 为何医生推荐做全瓷牙?看完你就
• 门牙缺损了!该选贴面修复还是牙
• 牙齿也是器官,那它可以自己修复
• 牙齿缺损要重视,带你全面了解牙
• 牙齿修复的方法有哪些?价格是多
• 门牙龋坏怎么办?前牙美学树脂填
• 口腔知识科普 | 牙体缺损知多少
• 门牙缺损实在太丑 德伦给你支支
  • 上一篇:门牙龋坏怎么办?前牙美学树脂填充还原灿烂笑容
  • 下一篇:牙齿缺损要重视,带你全面了解牙齿修复的各种方式!
返回列表

分享至

  • 诊疗项目
  • 关于德伦
  • 人才招聘
  • 连锁分院

预约/咨询热线
020-83782905
营业时间:9:00-18:00
全年365天无休,节假日照常值班

口腔种植 牙齿矫正 舒适儿牙 牙齿修复 牙体牙髓 口腔保健
德伦品牌 学术研究 新闻动态 公益事业 环境设备
加入我们
  • 德伦首页
  • 德伦品牌
  • 牙科项目
  • 专家团队
  • 儿童口腔
  • 爱牙工程
  • 德伦环境
  • 分院导航

您的位置: > 牙齿美容修复中心 > 牙缺损 >

牙齿修复的方法有哪些?价格是多少呢?
2024-10-04 11:24来源:德伦口腔点击:次
牙齿缺损不仅是影响形象美观、饮食等问题,对整个人的身体健康也有很大的影响。尤其是牙齿缺失,如果置之不理,还会影响整副牙齿。
 
 
牙齿缺损和牙齿缺失的区别
 
牙齿缺损和牙齿缺失是不同类型的牙齿问题。
 
牙齿缺损是指牙齿表面的损伤、裂缝或磨耗,它可能是由于牙齿磨损、牙齿龋齿、外力撞击等原因导致。
 
 
牙齿缺损可能仅会导致牙齿变丑、感觉敏感等一些轻微的问题,通常可以通过补牙、烤瓷牙等治疗方法来修复。
 
而牙齿缺失是指牙齿从牙槽骨内完全脱落或其他原因导致牙齿整体缺失,它可能是由于脱落、受伤、疾病、佩戴义齿等多种原因导致。
 

 
牙齿缺失无法通过简单的修复来解决,需要进行更为复杂的牙齿植入手术或者其他义齿修复治疗方式来解决。
 
01、牙齿缺损修复治疗方式
 
牙齿缺损的修复方式取决于牙齿缺损的程度。
 
缺损只到牙釉质和牙本质浅层
 
当牙齿缺损只到牙釉质和牙本质浅层,此时牙齿可能没有很大的感觉,且缺损不是很明显,有部分人可能会出现牙齿敏感、遇冷热会疼痛。
 
此时,牙齿缺损的修复方式可以选择进行树脂补牙或者嵌体修复。
 

价格:点击咨询价格/医生在线>>>
 
缺损只到牙本质中深层,没到牙髓腔
 
此时牙齿会有自发性的疼痛且有肉眼可见的缺损。这种缺损需尽快修复治疗,一般可以选择进行垫底治疗后进行树脂补牙或嵌体修复。
 
缺损到了牙髓(髓腔)
 
此时的牙齿缺损比较大且疼痛明显,尤其是夜晚疼痛难忍,吃止痛药也效果不明显。
 
一般这种情况需进行根管治疗,将感染的牙髓清理干净后再进行填充后修补。通常修补后会建议加多一个牙冠保护牙齿。
 

价格:点击咨询价格/医生在线>>>
 
因为牙齿没有了神经保护,得不到营养的支持,很容易失水变脆,如果没有牙冠保护,牙齿咬到硬物时就会很容易导致牙齿发生劈裂,因此根管后牙冠保护很有必要。
 
牙冠缺损严重,牙根受到影响
 
如果缺损后的牙根有足够的长度,此时根据牙齿松动的情况以及感染的情况可以进行打桩治疗。
 
如果牙根已经损伤比较深,那么就需要进行牙齿拔除后再进行缺牙修复治疗。
 
价格:点击咨询价格/医生在线>>>
 
牙齿缺失不仅影响口腔咀嚼功能,还会影响食物的吸收和消化,长期牙齿缺失还会发生缺牙区的邻牙倾斜,导致咬合关系的紊乱。牙齿缺失及时修复很重要!
 
02、牙齿缺失修复治疗方式
 
牙齿缺失的修复方式目前主要有3种:活动义齿修复、固定桥修复、种植义齿修复。
 
活动义齿修复
 
活动义齿,也叫活动假牙,是一种相对简单的缺牙修复方式,具有价格便宜,磨除健康牙体组织少的优点。
 
但它体积较大,有大面积的基托,戴入口腔中的异物感很强,同时活动义齿人工牙一般为塑料牙,咀嚼效率较低。
 

 
除此之外,活动义齿每次饭后、睡前都需要摘下来清洗,比较麻烦。同时会有金属环或者基托的暴露,因此美观性较差。使用寿命较短,一般为3-5年,需要定期更换。
 
固定桥修复 
 
固定桥修复,也叫连桥冠修复,是一种比较常见的牙齿缺失修复方式,与活动义齿相比,其异物感小,不需要摘戴,美观性能好,咀嚼效率高。
 
缺点是会损伤两侧的健康牙齿,要将缺牙处两侧的邻牙磨小后作为桥体后戴牙冠(这个是不可逆的伤害)。
 

价格:点击咨询价格/医生在线>>>
 
固定桥修复的使用寿命一般为15年左右,若其中一颗牙出现问题,通常需要将整个固定桥都拆除重做。而当缺牙过多时,往往不能采用这种修复方式。
 
种植义齿修复
 
种植义齿修复也叫种植牙修复,是目前牙齿缺失首选的修复方式。牙齿缺失只要在口腔环境和身体健康各方面条件允许的情况下,一般都会建议进行种植牙修复。
 
因为这种修复方式既不伤害邻牙健康,还能媲美真牙恢复美观和咀嚼功能,同时更有利于维护口腔健康。
 

价格:点击咨询价格/医生在线>>>
 
种植牙的使用寿命一般都比较长,只要维护保养得当可以用一辈子。但种植牙的费用较高,修复周期也相对较长,同时对缺牙周围骨组织有一定的要求。
 
当缺牙个数较多,或是跨度较大时,甚至全口无牙时,就只能选择活动修复或者种植修复了。
 
缺牙如何选择适合自己的修复方式?
 
主要考虑以下因素:
 
1、缺失牙的位置和数目;
 
2、缺失牙周围牙齿及骨质的情况;
 
3、在同等条件下修复的效果:种植牙 > 固定桥 > 活动牙。
 
以上就是牙齿缺损和牙齿缺失的修复方式,尽管牙齿缺损和牙齿缺失的影响后果并不相同,但不管是哪种牙齿问题,都需及早采取有效的治疗方法,才能够更好地保护口腔健康。

如果您还有其它问题,可以在线咨询德伦口腔专家为您解答相关口腔问题,您也可以拨打全国热线电话 020-83782905 咨询,德伦口腔专家会竭尽所能的帮助您。在线咨询德伦专家>>>
牙齿问题在线咨询 020-8378 2905

网上自助挂号

患者
须知

贯彻国家卫生部新医改政策,严格落实解决挂号难、看病难问题,开展网络自助预约挂号服务。

选择科室*

  • 种植科
  • 正畸科
  • 综合牙科
  • 儿童齿科

选择年龄*

  • 18岁以下
  • 18-30岁
  • 30-50岁
  • 50岁以上

口腔连锁品牌

  • 首页
  • 项目
  • 顶部

专家预约热线:020-8378 2905
本网站信息仅供参考,不能作为诊疗及医疗依据
广州德伦口腔 粤ICP备11073526号