德伦口腔:让全民拥有一口健康好牙

020-83782905关注我们:

当前位置: > 牙齿美容修复中心 > 牙缺损 >

门牙缺损实在太丑 德伦给你支支招

发表于:2023-04-26 来源:德伦口腔 编辑:刘编辑 点击:

牙齿虽是人体器官中
很坚硬的部分
但如果我们不好好呵护
难免也会受伤
磕掉一块甚至整颗缺失

 
当你穿着光鲜,气质不凡时
开口一笑,竟是“缺牙巴”
颜值瞬间大打折扣
毕竟其他牙齿还能藏
门牙作为门面担当
是怎么也藏不住滴
 
为了挽回门牙缺损小仙女们的颜面
今天小德就带大家了解一下
门牙缺损的4种修复方式
 
1.树脂修复
 
当门牙少部分缺损,且牙齿色泽正常,可选择美学树脂补牙的方式进行修复!
 
2.贴面修复
 
当门牙缺损、有缝或色泽不佳时,单纯补牙已无法解决,此时可选择瓷贴面进行修复。德伦口腔一站式解决门牙形态不好,色泽不佳等问题。

 
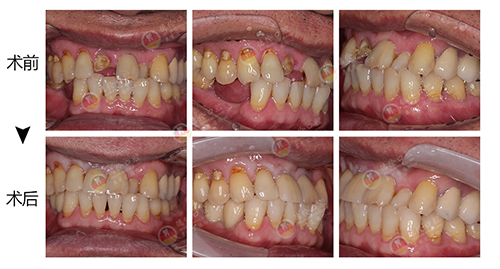
3.冠修复
 
当门牙牙冠大部分缺失,牙根尚可保留,可选择全瓷冠进行修复。全瓷冠外形与天然牙相似,修复后可恢复门牙美观和功能。
 
4.种植修复
 
当整颗门牙全部缺失,可选择种植修复。种植牙被称为人类的第三副牙齿,是目前针对牙齿缺失优选的修复方式,能够在不伤邻牙的前提下,完美恢复牙齿美观及功能,维护得当,可终身使用。

 
不知道哪种修复方式适合你?来德伦口腔做个免费口腔检查吧>>>
 
德伦口腔美学中心全新升级,占地面积约312㎡,拥有数字化牙龈美学修整术、德国CEREC瓷睿刻、水激光等技术。由齿科颜面美学高定修复医师李金津主任领衔,科室实力雄厚,医生毕业于国内著名口腔高校,拥有丰富的临床经验,注重牙齿和面部的美学设计,同时也追求修复体颜色与牙龈颜色的搭配与和谐。

 
一站式数字化美学修复,可让患者提前预知治疗效果,并参与整个治疗过程,德伦口腔美学中心始终本着以人为本、以客户至上的原则,为广大市民提供优质、全面的口腔诊疗服务,打造个性化量身定制的美齿方案。查看更多德伦口腔美学中心修复案例>>>
  • 诊疗项目
  • 关于德伦
  • 人才招聘
  • 连锁分院

预约/咨询热线
020-83782905
营业时间:9:00-18:00
全年365天无休,节假日照常值班