德伦口腔:让全民拥有一口健康好牙

020-83782905关注我们:

  • 首 页
  • 关于德伦
    德伦品牌
    学术科研
    公益事业
    环境设备
  • 专家团队
  • 在线挂号
  • 加入我们
  • English

您的位置: > 口腔内科 > 牙周科 > 刷牙出血 >

牙龈长包,除了上火,你还需要知道这些

发表于:2023-09-15 来源:德伦口腔 编辑:徐编 点击:次

牙龈长包,大家常常把它归结为两个字——上火。但“上火”是个筐,啥都能往里装,而事实真相究竟如何?今天,我们来揭开牙龈长包的秘密。


 
一、牙龈为啥会长包?
 
牙龈是口腔咀嚼黏膜的一部分,覆盖在牙槽嵴表面,包饶着牙颈部。
 
牙龈长包有两种类型,一种是牙龈疾病,如慢性龈炎、牙周脓肿、牙龈瘤等;另一种则是其他疾病在牙龈的表现,如根尖周炎、颌骨囊肿等。


 
常见的牙龈长包有根尖周炎、慢性龈炎和牙周脓肿。
 
#01、根尖周炎
 
根尖周炎大多是牙髓疾病的继发病,主要由根管内的感染通过根尖孔作用于根尖周组织引发。
 
而随着感染不断深入和扩大,牙根周围的牙槽骨也会被慢慢破坏,发生吸收,此时,感染产生的脓液便会在牙龈上形成脓包,脓包时大时小,有脓性分泌物。
 
导致根尖周炎的疾病主要有龋齿和牙齿外伤。
 
 
龋齿严重,累及牙髓,发生了牙髓炎,长期得不到治疗就容易发生根尖周炎,进而出现牙龈脓包。
 
而牙齿外伤也尤其值得注意,因为牙外伤造成的伤害可能更隐蔽,它会造成牙体硬组织缺损或牙髓震荡,从而导致牙髓组织的炎性改变,但这些改变在受伤当下或近期可能并未出现症状,直至牙龈长包才被检查出来。
 
#02、慢性龈炎
 
慢性龈炎是常见的牙龈病,国外调查资料显示,人群中慢性龈炎的患病率在60%~90%之间。
 
正常的牙龈呈粉红色,而患慢性龈炎时,由于组织水肿,牙龈呈鲜红或暗红色,圆钝肥大,有时可见呈球状增生;表面光亮,松软脆弱、缺乏弹性;医生行探诊时可见假性牙周袋、还可有探诊出血。


 
牙龈缘附近牙菌斑堆积是慢性龈炎的主要原因。而如果存在食物嵌塞、不良修复体、牙齿拥挤错位等因素,均可促进牙菌斑堆积,引发或者加重牙龈炎。
 
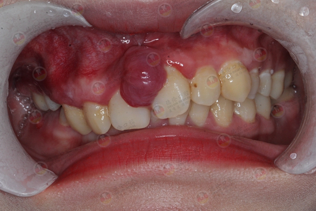
#03、牙周脓肿
 
牙周脓肿是牙周炎晚期,出现较深的牙周袋之后一种较为常见的症状,是位于牙周袋壁或深部牙周组织的化脓性炎症。
 
 
脓液未能及时排除,就会引起局部肿胀,在牙龈形成椭圆形或半球状的红肿突起。
 
牙周脓肿的高发人群为牙周炎中、晚期,牙槽骨吸收,形成较深牙周袋者,食物残渣与细菌容易在牙周袋内聚集,久而久之细菌大量繁殖产生毒素,就会形成一个脓包。
 
二、牙龈长包了,怎么办?
 
发现牙龈长包,很多人归结为上火、发炎,于是清热去火,吃消炎药等成为常规操作。但从以上牙龈长包的原因来看,这些处理方式治标不治本。

 
当发现牙龈长包,请及时到口腔诊所或医院就诊,通过面诊、CT等找到病因,对于根尖周炎导致的鼓包,需要进行根管治疗或拔除患牙,如果是牙龈炎、牙周炎导致的,则需要进行相应的牙周治疗。
 
三、牙龈长包,能预防吗?
 
其实,预防牙龈长包,关键就是预防龋齿、外伤及牙周疾病。因此,日常维护口腔健康的手段均可用来预防牙龈长包。
 
1、每天坚持正确刷牙,预防龋齿和牙周病,每年定期进行口腔健康检查。
 

 
2、在较为激烈的户外运动中,佩戴护牙套,以防牙齿外伤。
 
3、去除局部刺激因素,清洁牙齿和刮除牙周的牙石、牙垢,拆除不良修复体及控制食物嵌塞。

 
口腔疾病永远都是预防大于治疗,希望你能做好定期口腔检查与维护,不要拥有任何一款牙龈上的“包”~

如果您还有其它问题,可以在线咨询德伦口腔专家为您解答相关口腔问题,您也可以拨打全国热线电话 020-83782905 咨询,德伦口腔专家会竭尽所能的帮助您。在线咨询德伦口腔专家>>>

热点推荐

Recommended

• 刷牙老出血?警惕是患有牙周病!
• 牙周病的主要症状表现有哪些?
• 口臭?牙龈出血?牙周病的危害超乎
• 平时牙不疼,为啥会有牙周炎?
• 牙龈长包,除了上火,你还需要知
• 牙周病的四招预防大法
• 牙龈反复红肿出血?警惕牙周病
• 牙龈出血该怎样治疗?
  • 上一篇:牙周病的四招预防大法
  • 下一篇:平时牙不疼,为啥会有牙周炎?
返回列表

分享至

  • 诊疗项目
  • 关于德伦
  • 人才招聘
  • 连锁分院

预约/咨询热线
020-83782905
营业时间:9:00-18:00
全年365天无休,节假日照常值班

口腔种植 牙齿矫正 舒适儿牙 牙齿修复 牙体牙髓 口腔保健
德伦品牌 学术研究 新闻动态 公益事业 环境设备 视频中心
加入我们
  • 德伦首页
  • 德伦品牌
  • 牙科项目
  • 专家团队
  • 儿童口腔
  • 爱牙工程
  • 德伦环境
  • 分院导航

您的位置: > 口腔内科 > 牙周科 > 刷牙出血 >

牙龈长包,除了上火,你还需要知道这些
2023-09-15 15:57来源:德伦口腔点击:次
牙龈长包,大家常常把它归结为两个字——上火。但“上火”是个筐,啥都能往里装,而事实真相究竟如何?今天,我们来揭开牙龈长包的秘密。


 
一、牙龈为啥会长包?
 
牙龈是口腔咀嚼黏膜的一部分,覆盖在牙槽嵴表面,包饶着牙颈部。
 
牙龈长包有两种类型,一种是牙龈疾病,如慢性龈炎、牙周脓肿、牙龈瘤等;另一种则是其他疾病在牙龈的表现,如根尖周炎、颌骨囊肿等。


 
常见的牙龈长包有根尖周炎、慢性龈炎和牙周脓肿。
 
#01、根尖周炎
 
根尖周炎大多是牙髓疾病的继发病,主要由根管内的感染通过根尖孔作用于根尖周组织引发。
 
而随着感染不断深入和扩大,牙根周围的牙槽骨也会被慢慢破坏,发生吸收,此时,感染产生的脓液便会在牙龈上形成脓包,脓包时大时小,有脓性分泌物。
 
导致根尖周炎的疾病主要有龋齿和牙齿外伤。
 
 
龋齿严重,累及牙髓,发生了牙髓炎,长期得不到治疗就容易发生根尖周炎,进而出现牙龈脓包。
 
而牙齿外伤也尤其值得注意,因为牙外伤造成的伤害可能更隐蔽,它会造成牙体硬组织缺损或牙髓震荡,从而导致牙髓组织的炎性改变,但这些改变在受伤当下或近期可能并未出现症状,直至牙龈长包才被检查出来。
 
#02、慢性龈炎
 
慢性龈炎是常见的牙龈病,国外调查资料显示,人群中慢性龈炎的患病率在60%~90%之间。
 
正常的牙龈呈粉红色,而患慢性龈炎时,由于组织水肿,牙龈呈鲜红或暗红色,圆钝肥大,有时可见呈球状增生;表面光亮,松软脆弱、缺乏弹性;医生行探诊时可见假性牙周袋、还可有探诊出血。


 
牙龈缘附近牙菌斑堆积是慢性龈炎的主要原因。而如果存在食物嵌塞、不良修复体、牙齿拥挤错位等因素,均可促进牙菌斑堆积,引发或者加重牙龈炎。
 
#03、牙周脓肿
 
牙周脓肿是牙周炎晚期,出现较深的牙周袋之后一种较为常见的症状,是位于牙周袋壁或深部牙周组织的化脓性炎症。
 
 
脓液未能及时排除,就会引起局部肿胀,在牙龈形成椭圆形或半球状的红肿突起。
 
牙周脓肿的高发人群为牙周炎中、晚期,牙槽骨吸收,形成较深牙周袋者,食物残渣与细菌容易在牙周袋内聚集,久而久之细菌大量繁殖产生毒素,就会形成一个脓包。
 
二、牙龈长包了,怎么办?
 
发现牙龈长包,很多人归结为上火、发炎,于是清热去火,吃消炎药等成为常规操作。但从以上牙龈长包的原因来看,这些处理方式治标不治本。

 
当发现牙龈长包,请及时到口腔诊所或医院就诊,通过面诊、CT等找到病因,对于根尖周炎导致的鼓包,需要进行根管治疗或拔除患牙,如果是牙龈炎、牙周炎导致的,则需要进行相应的牙周治疗。
 
三、牙龈长包,能预防吗?
 
其实,预防牙龈长包,关键就是预防龋齿、外伤及牙周疾病。因此,日常维护口腔健康的手段均可用来预防牙龈长包。
 
1、每天坚持正确刷牙,预防龋齿和牙周病,每年定期进行口腔健康检查。
 

 
2、在较为激烈的户外运动中,佩戴护牙套,以防牙齿外伤。
 
3、去除局部刺激因素,清洁牙齿和刮除牙周的牙石、牙垢,拆除不良修复体及控制食物嵌塞。

 
口腔疾病永远都是预防大于治疗,希望你能做好定期口腔检查与维护,不要拥有任何一款牙龈上的“包”~

如果您还有其它问题,可以在线咨询德伦口腔专家为您解答相关口腔问题,您也可以拨打全国热线电话 020-83782905 咨询,德伦口腔专家会竭尽所能的帮助您。在线咨询德伦口腔专家>>>
牙齿问题在线咨询 020-8378 2905

网上自助挂号

患者
须知

贯彻国家卫生部新医改政策,严格落实解决挂号难、看病难问题,开展网络自助预约挂号服务。

选择科室*

  • 种植科
  • 正畸科
  • 综合牙科
  • 儿童齿科

选择年龄*

  • 18岁以下
  • 18-30岁
  • 30-50岁
  • 50岁以上

口腔连锁品牌

  • 首页
  • 项目
  • 顶部

专家预约热线:020-8378 2905
本网站信息仅供参考,不能作为诊疗及医疗依据
广州德伦口腔 粤ICP备11073526号