德伦口腔:让全民拥有一口健康好牙

020-83782905关注我们:

  • 首 页
  • 关于德伦
    德伦品牌
    学术科研
    公益事业
    环境设备
  • 专家团队
  • 在线挂号
  • 加入我们
  • English

您的位置: > 口腔内科 > 牙周科 > 刷牙出血 >

牙周病该怎么治疗?

发表于:2023-08-13 来源:德伦口腔 编辑:徐编 点击:次

俗话说:“牙疼不是病,疼起来要人命”,但老掉牙这件事情,它能让牙齿在不痛不痒的情况下,离开你,因此许多人都认为老掉牙是一种正常的老年性疾病,但实际上这是一种比较常见的,但极其容易被忽略的牙周炎。


 
一、什么是牙周炎?
 
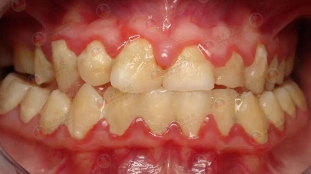
牙周炎是侵犯牙龈和牙周组织的慢性炎症,是一种破坏性疾病,其主要特征为牙周袋的形成及袋壁的炎症,牙槽骨吸收和牙齿逐渐松动,它是导致成年人牙齿丧失的主要原因。本病多因为菌斑,牙石,食物嵌塞,不良修复体,咬创伤等引起,牙龈发炎肿胀,同时使菌斑堆积加重,并由龈上向龈下扩延。

由于龈下微生态环境的特点,龈下菌斑中滋生着大量毒力较大的牙周致病菌,如牙龈类杆菌,中间类杆菌,螺旋体等,使牙龈的炎症加重并扩延,导致牙周袋形成和牙槽骨吸收,造成牙周炎。
 
 
二、牙周炎有哪些分期?
 
牙周病以牙龈炎症开始并随着时间的推移而恶化。
 
1、炎症期(牙龈炎)
 
牙周炎始于牙龈炎症,称为牙龈炎。牙龈炎的典型表现是:刷牙的时候,牙龈有出血现象。如果你仔细观察牙齿,还可能会看到牙齿上有颜色异常的物质,这就是牙菌斑。牙菌斑是牙齿上细菌和食物残渣的堆积物,若它没有及时被清除干净,会在牙齿上形成坚硬的牙结石,而牙结石它是牙龈炎和牙周炎的主要的致病因素。
 
 
2、早期牙周病
 
轻度牙周炎牙龈通常有炎症,会有探诊出血现象,牙周袋深度一般小于4毫米,附着丧失1~2毫米,有时伴随口臭现象。


 
3、中度牙周病
 
中度牙周炎探诊时会出血,还可能会出现溢脓现象,这时牙周袋深度小于6毫米,附着丧失3~4毫米。部分牙齿会出现轻度松动现象,多根牙根分叉区可能有轻度病变。


 
4、晚期牙周病
 
重度牙周炎炎症较明显,有时会发生牙周脓肿,这时牙周袋深度超过6毫米,附着丧失超过5毫米,多根牙根分叉病变,且牙齿有松动现象。形态异常,需要进行修整时,可以根据具体的情况和部位选择不同的牙

 
三、牙周炎怎么治疗?
 
牙周炎的治疗分为四个阶段,分别为基础治疗阶段、牙周手术治疗阶段、牙周修复治疗阶段和牙周支持治疗阶段。
 
治疗牙周炎的四个阶段
 
第一阶段为基础治疗阶段,目的在于选用牙周病常规的治疗方法,清除或控制临床炎症和咬致病因素,包括口腔自洁,拔除预后差和不利修复的牙,龈上洁治,龈下刮治以清除菌斑,牙石,选用抗菌药控制炎症,咬颌调整等。


 
第二阶段为牙周手术治疗和松动牙固定。
 
第三阶段为永久性修复治疗,一般手术后2-3个月后进行。
 
第四阶段为复查复治阶段,每半年一次,包括检查菌斑控制情况,卫生宣教,拍片检查,以进一步拟订治疗计划。
 

 
四、牙周炎预防
 
注意口腔卫生,养成良好的卫生习惯。坚持做到早起及睡前刷牙、饭后漱口,了解并掌握正确的刷牙方法。
 


如果您还有其它问题,可以在线咨询德伦口腔专家为您解答相关口腔问题,您也可以拨打全国热线电话 020-83782905 咨询,德伦口腔专家会竭尽所能的帮助您。在线咨询德伦专家>>>

热点推荐

Recommended

• 刷牙老出血?警惕是患有牙周病!
• 牙周病的主要症状表现有哪些?
• 口臭?牙龈出血?牙周病的危害超乎
• 平时牙不疼,为啥会有牙周炎?
• 牙龈长包,除了上火,你还需要知
• 牙周病的四招预防大法
• 牙龈反复红肿出血?警惕牙周病
• 牙龈出血该怎样治疗?
  • 上一篇:关于牙周炎的相关知识,你一定要知道
  • 下一篇:牙龈出血该怎样治疗?
返回列表

分享至

  • 诊疗项目
  • 关于德伦
  • 人才招聘
  • 连锁分院

预约/咨询热线
020-83782905
营业时间:9:00-18:00
全年365天无休,节假日照常值班

口腔种植 牙齿矫正 舒适儿牙 牙齿修复 牙体牙髓 口腔保健
德伦品牌 学术研究 新闻动态 公益事业 环境设备 视频中心
加入我们
  • 德伦首页
  • 德伦品牌
  • 牙科项目
  • 专家团队
  • 儿童口腔
  • 爱牙工程
  • 德伦环境
  • 分院导航

您的位置: > 口腔内科 > 牙周科 > 刷牙出血 >

牙周病该怎么治疗?
2023-08-13 17:02来源:德伦口腔点击:次
俗话说:“牙疼不是病,疼起来要人命”,但老掉牙这件事情,它能让牙齿在不痛不痒的情况下,离开你,因此许多人都认为老掉牙是一种正常的老年性疾病,但实际上这是一种比较常见的,但极其容易被忽略的牙周炎。


 
一、什么是牙周炎?
 
牙周炎是侵犯牙龈和牙周组织的慢性炎症,是一种破坏性疾病,其主要特征为牙周袋的形成及袋壁的炎症,牙槽骨吸收和牙齿逐渐松动,它是导致成年人牙齿丧失的主要原因。本病多因为菌斑,牙石,食物嵌塞,不良修复体,咬创伤等引起,牙龈发炎肿胀,同时使菌斑堆积加重,并由龈上向龈下扩延。

由于龈下微生态环境的特点,龈下菌斑中滋生着大量毒力较大的牙周致病菌,如牙龈类杆菌,中间类杆菌,螺旋体等,使牙龈的炎症加重并扩延,导致牙周袋形成和牙槽骨吸收,造成牙周炎。
 
 
二、牙周炎有哪些分期?
 
牙周病以牙龈炎症开始并随着时间的推移而恶化。
 
1、炎症期(牙龈炎)
 
牙周炎始于牙龈炎症,称为牙龈炎。牙龈炎的典型表现是:刷牙的时候,牙龈有出血现象。如果你仔细观察牙齿,还可能会看到牙齿上有颜色异常的物质,这就是牙菌斑。牙菌斑是牙齿上细菌和食物残渣的堆积物,若它没有及时被清除干净,会在牙齿上形成坚硬的牙结石,而牙结石它是牙龈炎和牙周炎的主要的致病因素。
 
 
2、早期牙周病
 
轻度牙周炎牙龈通常有炎症,会有探诊出血现象,牙周袋深度一般小于4毫米,附着丧失1~2毫米,有时伴随口臭现象。


 
3、中度牙周病
 
中度牙周炎探诊时会出血,还可能会出现溢脓现象,这时牙周袋深度小于6毫米,附着丧失3~4毫米。部分牙齿会出现轻度松动现象,多根牙根分叉区可能有轻度病变。


 
4、晚期牙周病
 
重度牙周炎炎症较明显,有时会发生牙周脓肿,这时牙周袋深度超过6毫米,附着丧失超过5毫米,多根牙根分叉病变,且牙齿有松动现象。形态异常,需要进行修整时,可以根据具体的情况和部位选择不同的牙

 
三、牙周炎怎么治疗?
 
牙周炎的治疗分为四个阶段,分别为基础治疗阶段、牙周手术治疗阶段、牙周修复治疗阶段和牙周支持治疗阶段。
 
治疗牙周炎的四个阶段
 
第一阶段为基础治疗阶段,目的在于选用牙周病常规的治疗方法,清除或控制临床炎症和咬致病因素,包括口腔自洁,拔除预后差和不利修复的牙,龈上洁治,龈下刮治以清除菌斑,牙石,选用抗菌药控制炎症,咬颌调整等。


 
第二阶段为牙周手术治疗和松动牙固定。
 
第三阶段为永久性修复治疗,一般手术后2-3个月后进行。
 
第四阶段为复查复治阶段,每半年一次,包括检查菌斑控制情况,卫生宣教,拍片检查,以进一步拟订治疗计划。
 

 
四、牙周炎预防
 
注意口腔卫生,养成良好的卫生习惯。坚持做到早起及睡前刷牙、饭后漱口,了解并掌握正确的刷牙方法。
 


如果您还有其它问题,可以在线咨询德伦口腔专家为您解答相关口腔问题,您也可以拨打全国热线电话 020-83782905 咨询,德伦口腔专家会竭尽所能的帮助您。在线咨询德伦专家>>>
牙齿问题在线咨询 020-8378 2905

网上自助挂号

患者
须知

贯彻国家卫生部新医改政策,严格落实解决挂号难、看病难问题,开展网络自助预约挂号服务。

选择科室*

  • 种植科
  • 正畸科
  • 综合牙科
  • 儿童齿科

选择年龄*

  • 18岁以下
  • 18-30岁
  • 30-50岁
  • 50岁以上

口腔连锁品牌

  • 首页
  • 项目
  • 顶部

专家预约热线:020-8378 2905
本网站信息仅供参考,不能作为诊疗及医疗依据
广州德伦口腔 粤ICP备11073526号