德伦口腔:让全民拥有一口健康好牙

020-83782905关注我们:

  • 首 页
  • 关于德伦
    德伦品牌
    学术科研
    公益事业
    环境设备
  • 专家团队
  • 在线挂号
  • 加入我们
  • English

您的位置: > 儿童齿科中心 > 乳牙提前脱落 >

孩子的乳牙提前脱落,你重视了吗?

发表于:2024-10-04 来源:德伦口腔 编辑:徐编 点击:次

儿童时期不仅是成长的关键期,也是长牙、换牙的关键期。乳牙的健康对孩子心理和生理成长起着至关重要的作用。正常情况下,孩子到了6岁左右,乳牙就会开始自然松动脱落,取而代之的是恒牙开始萌出。


 
但是常见有部分宝宝,由于龋齿或者其他外伤而导致乳牙过早脱落或拔除。妈妈们对这种情况不以为然,认为乳牙迟早都是要换的,早掉晚掉没关系。但实际上,你正在毁掉孩子的口腔健康。乳牙早失影响的不仅仅是缺掉的这颗乳牙,还会给口腔带来更严重的问题。


 
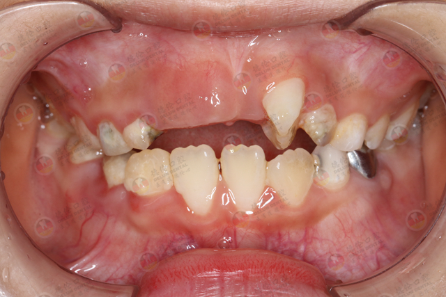
怎么判断乳牙是否早失?查看乳牙早失儿童案例>>>
 
判断乳牙是否过早脱落,就要了解儿童每颗乳牙的自然脱落时间,以及其替换恒牙的萌出时间。如果宝宝的乳牙比正常自然脱落时间早很多,那就要注意是否为早失了。


 
儿童换牙时间表
 
我们知道,宝宝的乳牙通常会在6岁左右开始换牙,但其实不是所有乳牙都是在6岁进行替换。如果孩子在5岁时失去了一颗原本12岁才会替换成恒牙的第二磨牙,那这期间将会有长达7年的“空洞期”。因此家长们应该关注儿童乳牙早失问题。


 
迟早会换,乳牙早失没关系?
 
虽然儿童的乳牙迟早要替换,但是它有一个自然规律,如果因为乳牙龋坏、意外损伤、炎症等原因,引起乳牙牙根缺失和乳牙早失,将会出现一系列更严重的问题。


 
影响咀嚼功能
 
乳牙早失,直接的影响是导致孩子的咀嚼功能得不到充分的发挥。由于食物得不到充分的咀嚼,大块的食物进入胃部,胃部负担加重。因此宝宝营养吸收将会受到一定影响。


 
影响替换恒牙
 
每一颗乳牙的牙根下面都有恒牙的牙胚,同时乳牙对恒牙起到一个向导的作用。乳牙早失会使恒牙“迷失方向”,长得歪歪斜斜的。并且由于没有了乳牙的“阻力限制”,恒牙可能会过早萌出。


 
而这种“提前上岗”的恒牙的牙根通常处于未发育完善的状态,这也是日后恒牙容易脱落的原因。
 
影响牙生长
 
乳牙早失而恒牙还没有萌出,空缺位久了,旁边的牙齿就会向空缺位倾斜,对应牙也会伸长,影响邻牙和咬合功能。


 
随着邻牙倾斜程度的加强,原本恒牙萌出的位置间隙变小,使恒牙没有足够的正常空间顺利萌出,只好“另辟蹊径”,导致牙列畸形、牙列拥挤、咬合关系不良等后果。
 
导致牙齿龋坏
 
乳牙早失,相当于口腔内出现了一个“大牙缝”。宝宝进食时,食物残渣非常容易塞在这个“大牙缝”中,这就给邻牙面的细菌制造了一个生长大温床。


 
如果没有及时清理,将会使邻牙发生龋齿,甚至连新萌出的恒牙也可能会受到细菌的侵蚀。
 
乳牙早失怎么办?
 
乳牙缺失后可以到正规的口腔医院进行拍片检查,医生会先确认替换恒牙近期内是否会萌出。查看乳牙早失治疗案例>>>


 
如果确定恒牙近期内不会萌出,那么一般会建议孩子佩戴间隙保持器。间隙保持器可以防止邻牙向丧失部位倾斜和对合牙伸长,保证继承恒牙正常萌出,能避免牙齿阻生或牙列拥挤等畸形的发生。 

德伦口腔儿童齿科中心成立于2011年,是德伦口腔的特色科室,由熊院长与江主任领衔,拥有独立的儿牙诊室,科室设施完善,环境舒适温馨,是广东省内率先设立儿童错颌畸形早期矫治的特色门诊。
 


科室倡导“快乐看牙”模式,专业儿牙医护团队针对不同孩子看牙需求,从孩子的心理入手,采取包括心理安慰,行为引导、笑气镇静、儿童全麻治疗等多样化舒适治疗方案,让孩子无惧看牙。查看德伦口腔儿童案例>>>

热点推荐

Recommended

• 乳牙早失的原因是什么?乳牙早失
• 儿童乳牙过早脱落,这个间隙怎么
• 孩子的乳牙提前脱落,你重视了吗
• 宝宝乳牙“落”太早,可能会有大
• 孩子乳牙过早脱落怎么办?
• 乳牙早失会带来影响吗?
  • 上一篇:宝宝乳牙“落”太早,可能会有大问题!
  • 下一篇:儿童乳牙过早脱落,这个间隙怎么办?
返回列表

分享至

  • 诊疗项目
  • 关于德伦
  • 人才招聘
  • 连锁分院

预约/咨询热线
020-83782905
营业时间:9:00-18:00
全年365天无休,节假日照常值班

口腔种植 牙齿矫正 舒适儿牙 牙齿修复 牙体牙髓 口腔保健
德伦品牌 学术研究 新闻动态 公益事业 环境设备
加入我们
  • 德伦首页
  • 德伦品牌
  • 牙科项目
  • 专家团队
  • 儿童口腔
  • 爱牙工程
  • 德伦环境
  • 分院导航

您的位置: > 儿童齿科中心 > 乳牙提前脱落 >

孩子的乳牙提前脱落,你重视了吗?
2024-10-04 11:08来源:德伦口腔点击:次
儿童时期不仅是成长的关键期,也是长牙、换牙的关键期。乳牙的健康对孩子心理和生理成长起着至关重要的作用。正常情况下,孩子到了6岁左右,乳牙就会开始自然松动脱落,取而代之的是恒牙开始萌出。


 
但是常见有部分宝宝,由于龋齿或者其他外伤而导致乳牙过早脱落或拔除。妈妈们对这种情况不以为然,认为乳牙迟早都是要换的,早掉晚掉没关系。但实际上,你正在毁掉孩子的口腔健康。乳牙早失影响的不仅仅是缺掉的这颗乳牙,还会给口腔带来更严重的问题。


 
怎么判断乳牙是否早失?查看乳牙早失儿童案例>>>
 
判断乳牙是否过早脱落,就要了解儿童每颗乳牙的自然脱落时间,以及其替换恒牙的萌出时间。如果宝宝的乳牙比正常自然脱落时间早很多,那就要注意是否为早失了。


 
儿童换牙时间表
 
我们知道,宝宝的乳牙通常会在6岁左右开始换牙,但其实不是所有乳牙都是在6岁进行替换。如果孩子在5岁时失去了一颗原本12岁才会替换成恒牙的第二磨牙,那这期间将会有长达7年的“空洞期”。因此家长们应该关注儿童乳牙早失问题。


 
迟早会换,乳牙早失没关系?
 
虽然儿童的乳牙迟早要替换,但是它有一个自然规律,如果因为乳牙龋坏、意外损伤、炎症等原因,引起乳牙牙根缺失和乳牙早失,将会出现一系列更严重的问题。


 
影响咀嚼功能
 
乳牙早失,直接的影响是导致孩子的咀嚼功能得不到充分的发挥。由于食物得不到充分的咀嚼,大块的食物进入胃部,胃部负担加重。因此宝宝营养吸收将会受到一定影响。


 
影响替换恒牙
 
每一颗乳牙的牙根下面都有恒牙的牙胚,同时乳牙对恒牙起到一个向导的作用。乳牙早失会使恒牙“迷失方向”,长得歪歪斜斜的。并且由于没有了乳牙的“阻力限制”,恒牙可能会过早萌出。


 
而这种“提前上岗”的恒牙的牙根通常处于未发育完善的状态,这也是日后恒牙容易脱落的原因。
 
影响牙生长
 
乳牙早失而恒牙还没有萌出,空缺位久了,旁边的牙齿就会向空缺位倾斜,对应牙也会伸长,影响邻牙和咬合功能。


 
随着邻牙倾斜程度的加强,原本恒牙萌出的位置间隙变小,使恒牙没有足够的正常空间顺利萌出,只好“另辟蹊径”,导致牙列畸形、牙列拥挤、咬合关系不良等后果。
 
导致牙齿龋坏
 
乳牙早失,相当于口腔内出现了一个“大牙缝”。宝宝进食时,食物残渣非常容易塞在这个“大牙缝”中,这就给邻牙面的细菌制造了一个生长大温床。


 
如果没有及时清理,将会使邻牙发生龋齿,甚至连新萌出的恒牙也可能会受到细菌的侵蚀。
 
乳牙早失怎么办?
 
乳牙缺失后可以到正规的口腔医院进行拍片检查,医生会先确认替换恒牙近期内是否会萌出。查看乳牙早失治疗案例>>>


 
如果确定恒牙近期内不会萌出,那么一般会建议孩子佩戴间隙保持器。间隙保持器可以防止邻牙向丧失部位倾斜和对合牙伸长,保证继承恒牙正常萌出,能避免牙齿阻生或牙列拥挤等畸形的发生。 

德伦口腔儿童齿科中心成立于2011年,是德伦口腔的特色科室,由熊院长与江主任领衔,拥有独立的儿牙诊室,科室设施完善,环境舒适温馨,是广东省内率先设立儿童错颌畸形早期矫治的特色门诊。
 


科室倡导“快乐看牙”模式,专业儿牙医护团队针对不同孩子看牙需求,从孩子的心理入手,采取包括心理安慰,行为引导、笑气镇静、儿童全麻治疗等多样化舒适治疗方案,让孩子无惧看牙。查看德伦口腔儿童案例>>>
牙齿问题在线咨询 020-8378 2905

网上自助挂号

患者
须知

贯彻国家卫生部新医改政策,严格落实解决挂号难、看病难问题,开展网络自助预约挂号服务。

选择科室*

  • 种植科
  • 正畸科
  • 综合牙科
  • 儿童齿科

选择年龄*

  • 18岁以下
  • 18-30岁
  • 30-50岁
  • 50岁以上

口腔连锁品牌

  • 首页
  • 项目
  • 顶部

专家预约热线:020-8378 2905
本网站信息仅供参考,不能作为诊疗及医疗依据
广州德伦口腔 粤ICP备11073526号