2019隐形正畸发布会
——伦敦奥运体操运动员张成龙倾情助阵!

张成龙在矫正诊室
授牌仪式上作出致辞

张成龙亲身体验3shape数字化
口内扫描,盛赞矫牙黑科技

张成龙与德伦指定
专家团为矫正诊室揭牌

伦敦奥运体育健儿张成龙
倾情助阵矫正诊室落成
数字化口腔扫描+隐形矫治
双重把关,德伦口腔隐形矫治数字化再升级

3D数字化口扫辅助制定方案
数字化监控矫正进度

Angelalign Pro快捷准确矫正
国家发明专利 专利号:ZL201110322561.X
体育健儿“同款隐形矫正”在德伦
矫治采用两种不同的厚度的膜片(牙套),发挥两种不同膜片的各自优势,在有效的作用时间内,矫治效率、矫治目标达成和舒适度方面较普通隐形矫正方式有明显提升。
Angelalign Pro 3大科技支撑

体育健儿“同款隐形矫正”VS传统矫正
时代天使隐形矫正vs普通隐形矫正vs固定矫正
体育健儿“同款隐形矫正”
矫治流程真实分解
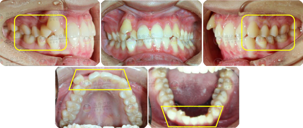
矫治前后对比
蜕变周期:上颌16个月,矫治效率提升30%,下颌12个月,矫治效率提升20%
矫
治
前
口
内
照

矫
治
后
口
内
照

隐形矫正热点问题
德伦口腔
时代天使隐形矫正广东指定医院