专家档案
Expert File
陈晨
副主任医师
德伦口腔种植科专家
• 新疆医科大学口腔医学学士
• 3M(中国)公司特聘讲师
• 国家口腔执业医师资格考试指定考官
• 国家住院医师规范化培训特派带教教师
陈晨主任 临床工作10余年,新疆医科大学口腔医学院毕业后在三级甲等口腔专科医院,屡评先进医务工作者、国家口腔执业医师资格考试指定考官及国家住院医师规范化培训优秀带教医师,同时为国际高端种植系统和3M(中国)公司中华区特约讲师。理论知识扎实,临床经验丰富。接受了国内外先进理念熏陶,熟练掌握各种种植技术,视野前瞻性,技术全面化。尤为擅长3D数字化口腔美学种植及修复,牙齿微创种植,失败病例的美学及功能重建。
预约专家个人荣誉墙
用艺术家的审美,科学家的严谨,行医天下
陈医生说:“美学种植在种植牙过程中,就已经融入了美学概念,它与恢复牙齿的咬颌功能两者是协调统一的。陈医生喜欢挑战自我,面对新技术或有难度的技术,他乐于去钻研,去学习,经常参加各类种植学术活动,更新自己的理念,以此不断地激励自己,同时也让患者幸福地享受诊疗过程。”
孜孜不倦钻技术 仁爱仁心待患者
因为挚爱 所以精益求精
科技日新月异,而人肯定也要保持永不止步的心。陈晨从毕业开始就从事牙医工作,十几年的科研与教学,临床经验丰富的他依然事无巨细,精益求精。除了技术精湛外,陈医生认为态度也很重要,特别是种植牙,医生必须要有严谨的行医态度,还要具备高度的审美观,保证种出让自己和患者都满意的牙齿。
因为仁心 所以以人为本
陈晨说到,一定要做好医生和患者之间的沟通,患者刚来到医院,对他来说是陌生与担忧的,医生的工作除了解决患者疾病,还要安抚患者的情绪,做到尊重患者,细心聆听患者的需求,术后跟进与维护好患者的病情。
美学种植修复成为种植牙发展的一个新高度
随着生活水平的提高,人们对种植牙的技术要求也越来越高。陈晨医生对美学种植情有独钟,利用数字化种植技术,保证牙齿完好种植的同时,也要让牙齿看上去自然、美观、协调,符合人们的期望,为广大患者所接受,这也成为越来越多患者所追求的一种效果。
NO1 微创舒适
数字化种植牙手术前会进行麻醉,患者能舒适完成整个手术过程。
NO2 准确快速
数字化种植牙手术前会提前做好一个导板,准确预知种植牙的位置和深度,有效避开出血神经,种植过程更安心。
NO3 协调美观
在种植牙过程中融入美学概念,让种出来的牙齿与天然牙一样看上去自然协调,让患者展现自信笑容。
个人案例墙
患者姓名:王小姐
年龄:28岁
牙齿症状:外伤造成前牙缺牙
治疗方式:前牙种植全瓷牙修复
患者姓名:张先生
年龄:45岁
牙齿症状:右上后牙缺失3年
治疗方式:后牙种植后全瓷固定修复
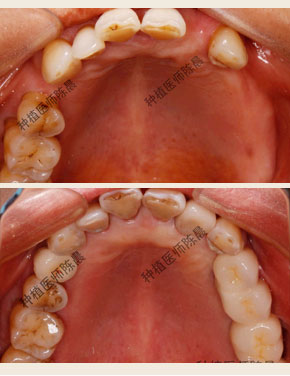
患者姓名:冯女士
年龄:60岁
牙齿症状:右上后牙缺失10年
治疗方式:种植固定桥修复
与陈医生面对面答疑
Q:如何判定一个病例的美学或咬合功能失败,修复失败的病例美学及功能重建的难点在哪?
A:宏观上来说:美学或咬合功能失败的判定在于与天然牙看上去不协调,没有美感;还有一个是患者对种出来的牙齿不满意;
Q:美学种植大概是哪一年开始被重视的,国内缺牙患者对其是否重视?老年人愿意为美学花钱吗?
A:美学种植大概是从最近5年开始被重视的,国内的缺牙患者对牙齿的美观越来越重视,不论年轻人还是年老人,都希望种出来的牙齿美观,而且,医生在做种植牙的时候,就已经融入了美学理念,恢复牙齿的咬合功能与美学种植是统一的关系,不能将其分割开。