德伦口腔:让全民拥有一口健康好牙

020-83782905关注我们:

当前位置: > 口腔保健 >

为什么要定期检查牙齿
为什么要定期检查牙齿
国民口腔保健意识薄弱 中华口腔医学会日前发布的《城市居民饮食与口腔护理习惯调查报告》显示,人们的口腔预防意识普遍薄弱,每年检查12次口腔的居民仅为25.7%。而形成对比的是,60.9%的居民表......[阅读全文]
哪些不良习惯会引起错颌畸形
哪些不良习惯会引起错颌畸形
错颌畸形形成因素及其机理是错综复杂的。其发生的过程可能由单一因素或单一机理在起作用,但也可能是多种因素或多种机理共同作用的结果,这些因素影响到颌面部的骨骼、神经、肌肉、牙齿和软组织......[阅读全文]
怎样预防老年人掉牙
怎样预防老年人掉牙
相信大部的人都会认为人到了一定的年纪,掉牙就是很正常的事情,其实这个观念已经慢慢在大众的印象里面改变了,随着人们口腔健康意识的不断提高,都知道老掉牙会严重影响身体的健康。那么,怎样......[阅读全文]
怎样减少牙菌斑呢
怎样减少牙菌斑呢
现代人多多少少都会有不同的牙齿问题,而最普遍的的就是牙菌斑了,这类牙齿问题虽然看似没有什么大的影响,但是时间久了也会引发龋齿、牙周炎等等的问题,所以也需要及时的做好清洁,以免小问题......[阅读全文]
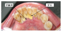
生活中如何预防牙结石的堆积
生活中如何预防牙结石的堆积
对于口腔卫生不太注意或者不注意控制饮食的人群,随着年龄的增长很多人都会出现牙齿表面牙结石堆积的情况。而牙结石的危害多数人都不了解,牙龈炎牙周病都是因为牙结石这样的局部刺激一步步导致......[阅读全文]
牙菌斑对牙齿有什么危害
牙菌斑对牙齿有什么危害
在现实生活中,大部分的人都是比较注意口腔卫生的,但并不是所有人都懂得正确的刷牙方式,这样的话会导致食物残留继而滋生细菌,而牙菌斑就是这些细菌的集合体。那么,牙菌斑对牙齿会造成哪些危......[阅读全文]
生活中该如何预防口臭
生活中该如何预防口臭
口臭是个让人讨厌的存在,口臭不仅影响自己的健康,同时对自己的工作、交友等都有很大的影响,毕竟人未到,口气先至,谁都受不了。那么,在生活中我们该如何预防口臭你呢? 1、早晚两次刷牙 刷牙......[阅读全文]
嘴巴有异味,洗牙有用吗?
嘴巴有异味,洗牙有用吗?
在日常生活中,很多朋友都会出现口腔有异味的情况,但无论我们平时怎么认真刷牙,味道还是不能消除,这也对日常的交际造成了一定的影响。那么造成口臭的因素是什么呢?洗牙可以去除口腔异味吗?针......[阅读全文]
  • 诊疗项目
  • 关于德伦
  • 人才招聘
  • 连锁分院

预约/咨询热线
020-83782905
营业时间:9:00-18:00
全年365天无休,节假日照常值班